Bridges – Havertown, PA
Restoring Your Smile and Dental Function with Expert Care
Why Choose Havertown Dental Arts for Bridges?

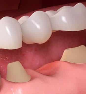
What are Bridges?
Dental bridges are dental prosthetics used to restore the function and aesthetics of a smile affected by missing teeth. They serve as bridges between the remaining natural teeth or dental implants, filling the gaps left by the missing teeth. Comprised of artificial teeth, called pontics, held in place by dental crowns, bridges are custom-made to match the natural appearance and bite of the patient.
By anchoring the bridge to the adjacent teeth or implants, dental bridges restore the ability to chew and speak properly, maintain the alignment of surrounding teeth, and enhance the smile's overall appearance. With proper oral hygiene and regular dental care, dental bridges can provide a durable and long-lasting solution for missing teeth.

The Process of Obtaining Bridges
New Patients & Emergency Appointments Welcome! Call Us Today.
When Should You Opt for Bridges?
Dental bridges are suitable for individuals with one or more missing teeth and looking to restore their smile and oral function. Here are some situations where opting for bridges may be recommended:
Missing Teeth: Bridges are an effective solution for one or more missing teeth. They can fill the gaps, preventing the surrounding teeth from shifting and maintaining proper dental alignment.
Oral Function: If missing teeth affect your ability to chew and speak properly, dental bridges can restore these essential functions, allowing you to eat a varied diet and communicate confidently.
Aesthetics: Bridges can greatly enhance the appearance of your smile by filling in gaps and improving facial aesthetics. Our dental bridges are meticulously crafted to precisely match your natural teeth' color, shape, and size, ensuring a seamless and lifelike outcome.
Oral Health: Gaps caused by missing teeth can lead to oral health issues, such as gum disease and tooth decay. Bridges help maintain oral health by preventing food particles from getting trapped in empty spaces and making oral hygiene maintenance easier.
Jaw Bone Preservation: Missing teeth can result in bone loss in the jaw area over time. Bridges help stimulate the underlying bone and prevent further damage, preserving the jawbone structure.
Restore Your Smile And Regain Your Confidence With Dental Bridges
At Havertown Dental Arts, we are dedicated to providing exceptional dental bridge services in Havertown, PA. Dr. Maconi understands the importance of a healthy and complete smile. We offer customized dental bridges that not only fill the gaps caused by missing teeth but also restore oral function and enhance aesthetics. Using advanced techniques and state-of-the-art technology, we ensure precise tooth preparation and the creation of high-quality, natural-looking bridges.
Your comfort and satisfaction are our top priorities, and we strive to deliver the highest standard of care throughout the entire bridge treatment process. Trust Havertown Dental Arts for your dental bridge needs and take the first step toward achieving a beautiful, confident smile. Contact us today to schedule a consultation and discover how dental bridges can transform oral health and well-being.
Bridges FAQ's



